예방접종과 생활습관 관리로 폐렴 위험 낮춰야
![]() |
| ▲분당제생병원 호흡기내과 이경주주임과장이설명하고있다.(사진=분당제생병원) |
폐렴은 코로나 팬데믹 시기에는 감소세를 보이다가 이후에는 더 빠르게 환자수가 증가했고, 2024년에는 마이코플라즈마 폐렴이 확산되어 질병관리청이 유행주의보를 발령하기도 했다.
폐렴은 폐포나 세기관지 등 가스교환이 일어나는 부위에 염증이 생기는 상태를 말한다.
세균, 바이러스, 곰팡이 등 미생물에 의한 감염으로 발생하는데 영유아부터 노인까지 다양한 연령에서 발병하는 질환이고, 요즘처럼 일교차가 크고 기온이 낮은 환절기나 겨울에 많이 발생한다. 특히 폐렴은 고령층에서 더 높은 사망률을 보이는 데 고령화로 노년층의 폐렴 유병률과 이로 인한 사망률은 더 증가할 것으로 예상된다.
분당제생병원 호흡기 알레르기 내과 이경주 주임과장은 “일반적인 폐렴의 증상은 발열, 기침, 객담, 호흡곤란이 있고 원인 균주에 따라 흉통 및 객혈이 생기지만 면역력이 저하되는 고령의 환자에서는 이러한 증상과 증후가 감춰지는 경우가 많고, 전신 쇠약감, 식욕감퇴, 의식 저하나 기저 질환의 악화로 나타나게 된다. 다른 증상에 비해 빈호흡이 발생하기도 하고 30~40%의 환자는 발열이 없기도 하며, 이러한 특징적인 증상이 없기 때문에 고령 환자의 폐렴이 늦게 진단되어 상태가 급속하게 나빠지고 다양한 합병증을 일으켜 위험이 커지는 경우가 많다.”고 말했다.
또, 호흡기알레르기 내과 이경주 주임 과장은 “폐렴 치료의 핵심은 조기에 적절한 항생제를 투여하는 것이다. 일반적으로 5~14일간 항생제를 투여하고 환자의 상태와 원인 미생물에 따라 치료 기간이 조절될 수 있다”며 “폐렴을 예방하기 위해서는 예방접종이 중요한데 65세 이상 성인, 만성 질환자, 면역 저하자에게는 인플루엔자 백신과 폐렴구균 백신 접종을 권장한다”고 덧붙였다.
폐렴은 임상적인 증상과 X-선 검사를 통하여 진단하게 된다. 폐렴으로 진단된 후의 진료에서 가장 중요한 결정 중의 하나는 입원 여부의 결정이다. 환자의 중증도나 사망 위험도에 따라 적절하게 외래 치료 혹은 입원 치료를 결정하여야 하는데 노년층에서는 여러 동반 질환이 있는 경우가 많아 임상적인 안정상태에 도달하는 기간이 길어지므로 젊은 사람에 비해서 긴 회복기간이 필요하게 된다. 따라서 여러 동반 질환이 있는 노년층에서 입원치료 후 퇴원 시점을 결정할 때에는 조기 재활 치료를 포함한 추가적인 조치가 필요한지를 평가해야 한다.
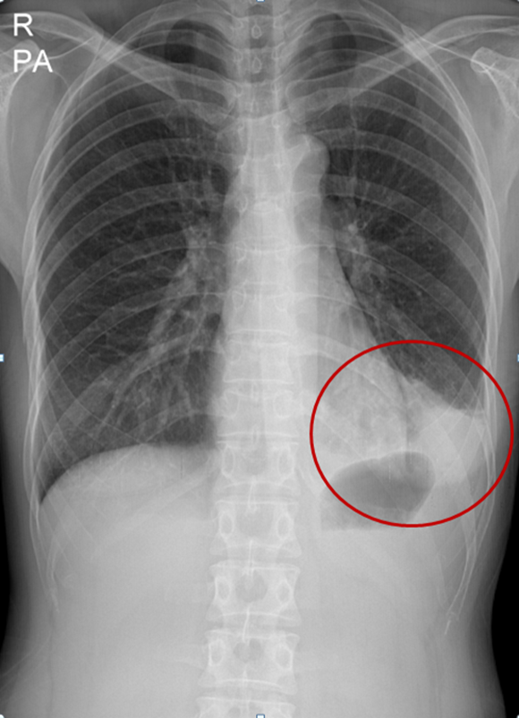
![]() |
| ▲폐렴환자의X-ray 사진.(제공=분당제생병원) |
한편, 분당제생병원은 건강보험심사평가원에서 발표한 폐렴, 만성폐쇄성폐질환(COPD), 결핵. 천식 적정성 평가에서 모두 1등급을 받아 호흡기 질환 치료에 있어서 전국 최우수병원임을 인정받았다
[저작권자ⓒ 서울세계타임즈. 무단전재-재배포 금지]













































